Validade Jurídica das Imagens Digitais como Prova Objetiva em
Odontologia
(Ensaio de Finalidade Didática - Tema
Controverso a Ser Melhor Regulamentado)
Malthus Fonseca Galvão - Prof. FOPLAC/UNIPLAC
- Mestre em Odontologia Legal FOP/UNICAMP
Gilberto Paiva de Carvalho - Monitor de Odontologia Legal da FOPLAC/UNIPLAC
Eduardo Daruge - Coordenador do Mestrado e
Doutorado da FOP/UNICAMP

Layout do Painel Impresso - 145x95cm
Validade
Jurídica das Imagens Digitais como Prova Objetiva em Odontologia
As imagens e os recursos computacionais modernos constituem recursos valiosos na
produção dos elementos constituintes do prontuário odontológico.
Os autores exemplificam, neste trabalho, de forma gráfica, a possibilidade de
adulteração de imagens digitais, obtendo "clones" com características
completamente diversas, quase sem possibilidade de se definir qual delas é a original.
Diversos recursos de edição computadorizada de imagens, que permitem alterações
imperceptíveis na impressão ou visualização em monitor, são demonstrados. Imagens com
grande resolução podem ser periciadas, comprovando-se eventuais adulterações.
Esta metodologia comprova a possibilidade de contestação da validade jurídica
das imagens em meio magnético como prova objetiva, e sugerem a recomendação de
recursos adicionais que garantam a capacidade de prova em juízo, o que poderia ser feito
através da simples autenticação das mesmas, com data e assinatura do paciente
após sua impressão. Estudos realizados pelo Dr. Cléber Bidegain Pereira, publicados em www.cleber.com.br, confirmam esta
necessidade.
Um paralelo entre as imagens digitais ou digitalizadas e as imagens fotográficas
convencionais, química baseada em emulsão de halogenetos, é traçado, ressaltando a
possibilidade de utilização simultânea das mesmas, mantendo a capacidade probatória
das imagens "químicas" e a facilidade de armazenamento, indexação e
transmissão das imagens digitais.
Sugerem ainda a criação de cartórios virtuais "em espelho" para
autenticação das imagens digitais através da "internet". |
início
Edição com Montagem Grosseira de Imagens
início

Imagens sem edição
início

Logotipo aplicado na camiseta
início

Vestígios da Edição Periciáveis
Deformação e "Wash" do Panfleto
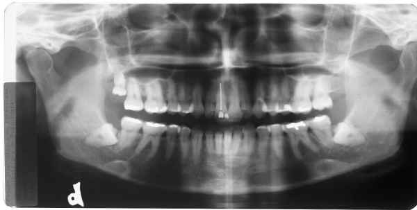
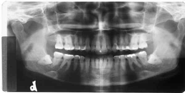
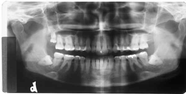
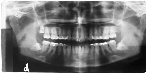
Qual destas imagens não foi editada?
início

RX superior esquerdo
início

Rx superior direito
início

Rx inferior esquerdo
início

Rx inferior direito
Qual destes lados não foi editado?
início

início

Responda, justificando, e receba a resposta com as fotos originais!
Matematicamente a probabilidade de erro na 1ª resposta é igual a 75% = 3/4 x 100
Matematicamente a probabilidade de erro na 2ª resposta é igual a 50% = 1/2 x 100
Não aposte sua prova jurídica nisto, responda e verás!
Estamos oferecendo uma BMW, a escolher entre as abaixo, aos acertadores!

(apenas a imagem será enviada)
Resposta da Primeira Questão
Radiografia 1
Radiografia 2
Radiografia 3
Radiografia 4
Resposta da Segunda Questão
Imagem 1
Imagem 2
Desistir e ver o gabarito
Entendeu?