APEMOL - ASSOCIAÇÃO PERNAMBUCANA DE MEDICINA E ODONTOLOGIA LEGAL   

FORENSE 2000

XVI Congresso Brasileiro de Medicina Legal
VII Congresso Brasileiro de Ética Médica
V Congresso Brasileiro de Odontologia Legal
II Congresso Luso-brasileiro de Medicina Legal
I Congresso Brasileiro de Direito Médico

ANAIS FORENSE 2000

Comissão | Mensagem | Programa | Fotos

Medicina Legal | Odontologia Legal | Direito Médico

IBEMOL - Códigos | Dec. Direitos | Forense98 | CID10 | IML | Prontuário | Biosseg. | I. Digital | Soft. | Artigos   

 

Nenhuma das questões possui resposta.

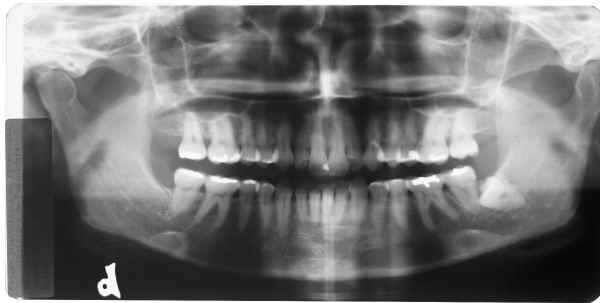
Este é um exercício para provar as dificuldades de se definir alterações nas imagens digitais.

Todas as radiografias foram alteradas a partir da seguinte original:

Radiografia original sem retoques

Nenhuma das Imagens foi alterada:

fotografia original sem retoques

Obrigado pela sua participação

(não fique triste, todos erraram enquanto a resposta era dada por email, e durante as apresentações nos congressos)

 

     

Instituto Brasileiro de Ensino e Pesquisa em Odontologia e Medicina Legal
®

  Instituto Brasileiro de Ensino e Pesquisa em Medicina e Odontologia Legal
Direitos Reservados 1997-2001 - Leia as Condições Legais - Consultores

mande um email com suas críticas e sugestões

 

Síntese do Site www.ibemol.com.br preparada para o CD-ROM FORENSE 2000  - APEMOL & IBEMOL