Trepanações Dentárias
IML/DF - Malthus
|
Apresentamos dois casos ilustrativos de perícia em
trepanação dentária.
As
imagens sem desenhos coloridos não foram editadas, enquanto que as outras receberam
tratamento gráfico especial para esclarecer melhor a autoridade solicitante que é leiga
no assunto.
Ocorrendo
uma situação como estas, dê toda a assistência ao paciente no sentido de resolver o
problema que você criou antes que algum processo seja movido: civil, criminal, ético ou
até administrativo quando se tratar de atendimento institucional. |
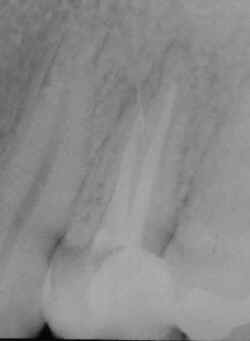
CASO I
 |
Fratura de instrumento endodôntico metálico com
trepanação apical e conseqüente reação tissular.
Observe
a angulação do instrumento fraturado.
A
certeza de que a imagem corresponde a um instrumento metálico reside na relação entre
suas dimensões e radiopacidade. |
 |
Esquema gráfico evidenciando ao leigo as alterações
visualizáveis na radiografia.
A
imagem é clara e o fato constitui erro odontológico, passível de responsabilização do
profissional.
A
perda do elemento dentário, se ocorrer constitui debilidade permanente de função de
acordo com o Código Penal Brasileiro (art 129).
O
profissional responsável pelo ocorrido pode ser acionado civilmente de acordo com o
Código Civil Brasileiro (art 1545), e por
inúmeros artigos do Código de Ética Odontológica |
CASO II
Material produzido baseado
nos trabalhos dos
LABORATÓRIOS INTEGRADOS DE
ANTROPOLOGIA, COMPUGRAFIA E ODONTOLOGIA FORENSES
INSTITUTO DE MEDICINA LEGAL LEONÍDIO
RIBEIRO
COORDENAÇÃO DE POLÍCIA TÉCNICA
POLÍCIA CIVIL DO DISTRITO FEDERAL
BRASÍLIA - DISTRITO FEDERAL - BRASIL
José Eduardo da Silva Reis - Fundador dos Laboratórios Integrados -
Ex-Diretor do IML - DF
Aluisio Trindade Filho - Chefe do Laboratório de Antropologia Forense - Ex-Diretor do IML
- DF
Ricardo Nogueira Frade - Laboratório de Antropologia Forense - IML - DF
Malthus Fonseca Galvão - Fundador e Chefe do Laboratório de Odontologia Forense - IML -
DF
Venilton de Siqueira - Chefe do Laboratório de Compugrafia Forense - IML - DF
Alice Sousa - Antropóloga do Laboratório de Antropologia Forense - IML - DF
Alexandre Cavalcanti - Chefe
do Núcleo de Estudos do IML - DF - Presidente SBrML
Agradecimentos Especiais
Seção de Perícia no Vivo
do IML - DF
Seção de Perícia no Morto do IML - DF
Seção de Apoio à Necrópsia do IML - DF
Seção de Radiologia Forense do IML - DF
Seção de Foto Imagem Forense do IML - DF
Seção de Psicopatologia Forense do IML - DF
Laboratório de Toxicologia Forense do IML - DF
Laboratório de Histopatologia Forense do IML - DF
Instituto de Criminalística - PCDF
Seção de Perícia Externa - IC - PCDF
Seção de Balística Forense - IC - PCDF
Divisão de Pesquisa em DNA Forense
Coordenação de Polícia Técnica - CPT
Polícia Civil do Distrito Federal - PCDF
Governo do Distrito Federal - GDF