Implantes Dentários
IML/DF Malthus
|
Apresentamos um caso ilustrativo de perícia em implantes
dentários considerados ultrapassados pela moderna ciência odontológica e ainda assim
instalados impropriamente.
 |
 |
Utilização de gengiva artificial com mínima retenção -
possibilidade de homicídio culposo caso ocorresse aspiração da prótese (CP art 121), sendo que neste caso a pena seria aumentada
em um terço (1 a 3 anos + 1/3). |
 |
Utilização de goma de mascar para impedir a sibilação
fonética. |
 |
Utilização de aletas no elemento
dentário 22 para evitar sua rotação, pois, o encaixe do intermediário deste tipo de
implante não possui encaixe, apenas rosca. Foi refeito este elemento dentário - Observe radiografia abaixo sem as aletas |
 |
Vista anterior sem a gengiva artificial e sem a goma de
mascar
Os
implantes apresentavam mobilidade em todos os sentidos, inclusive longitudinalmente
aos seus longos eixos. |
 |
Detalhe da superfície dos pilares propiciando acúmulo de
placa bacteriana e conseqüente inflamação crônica dos tecidos adjacentes aos
implantes. |
 |
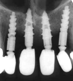
Radiografia sem edição alguma da imagem
evidenciando a trepanação das fossas nasais e conseqüentes reabsorções ósseas.
As
reabsorções ósseas circunjacentes aos implantes também são notáveis.
Observe
a falta de adaptação dos intermediários pelas diferenças de adaptação dos mesmos
entre os quatro implantes.
Nesta
radiografia as aletas dos elemento dentário 22 ainda
não foram colocadas. |

Este caso configura debilidade permanente de função de
acordo com o Código Penal Brasileiro (CP art 129),
sendo que o profissional responsável pelo ocorrido pode ser acionado civilmente de acordo
com o Código Civil Brasileiro (CC 1545), e por
inúmeros artigos do Código de Ética Odontológica.

Preferimos digitalizar o próprio laudo entregue à
autoridade competente para que você leitor imagine como foi formado o livre arbítrio
judicial.

Observe a perfeita relação de causa e efeito.


Material produzido baseado
nos trabalhos dos
LABORATÓRIOS INTEGRADOS DE
ANTROPOLOGIA, COMPUGRAFIA E ODONTOLOGIA FORENSES
INSTITUTO DE MEDICINA LEGAL LEONÍDIO
RIBEIRO
COORDENAÇÃO DE POLÍCIA TÉCNICA
POLÍCIA CIVIL DO DISTRITO FEDERAL
BRASÍLIA - DISTRITO FEDERAL - BRASIL
José Eduardo da Silva Reis - Fundador dos Laboratórios Integrados -
Ex-Diretor do IML - DF
Aluisio Trindade Filho - Chefe do Laboratório de Antropologia Forense - Ex-Diretor do IML
- DF
Ricardo Nogueira Frade - Laboratório de Antropologia Forense - IML - DF
Malthus Fonseca Galvão - Fundador e Chefe do Laboratório de Odontologia Forense - IML -
DF
Venilton de Siqueira - Chefe do Laboratório de Compugrafia Forense - IML - DF
Alice Sousa - Antropóloga do Laboratório de Antropologia Forense - IML - DF
Alexandre Cavalcanti - Chefe
do Núcleo de Estudos do IML - DF - Presidente SBrML
Agradecimentos Especiais
Seção de Perícia no Vivo
do IML - DF
Seção de Perícia no Morto do IML - DF
Seção de Apoio à Necrópsia do IML - DF
Seção de Radiologia Forense do IML - DF
Seção de Foto Imagem Forense do IML - DF
Seção de Psicopatologia Forense do IML - DF
Laboratório de Toxicologia Forense do IML - DF
Laboratório de Histopatologia Forense do IML - DF
Instituto de Criminalística - PCDF
Seção de Perícia Externa - IC - PCDF
Seção de Balística Forense - IC - PCDF
Divisão de Pesquisa em DNA Forense
Coordenação de Polícia Técnica - CPT
Polícia Civil do Distrito Federal - PCDF
Governo do Distrito Federal - GDF