APEMOL - ASSOCIAÇÃO PERNAMBUCANA DE MEDICINA E ODONTOLOGIA LEGAL   

FORENSE 2000

XVI Congresso Brasileiro de Medicina Legal
VII Congresso Brasileiro de Ética Médica
V Congresso Brasileiro de Odontologia Legal
II Congresso Luso-brasileiro de Medicina Legal
I Congresso Brasileiro de Direito Médico

ANAIS FORENSE 2000

Comissão | Mensagem | Programa | Fotos

Medicina Legal | Odontologia Legal | Direito Médico

IBEMOL - Códigos | Dec. Direitos | Forense98 | CID10 | IML | Prontuário | Biosseg. | I. Digital | Soft. | Artigos   

 

Identificação Humana por Comparação Computadorizada de Imagens Radiográficas Dentárias
IML/DF - Malthus

 

espaco2.gif (821 bytes)Radiografia da ossada
espaco2.gif (821 bytes)Região de molares inferiores direitos evidenciando perda provavelmente post-mortem dos dentes 47 e 48.
espaco2.gif (821 bytes)Observe que as formas alveolares e conseqüentemente das raízes perdidas estão evidentes.
espaco2.gif (821 bytes)Radiografia do suspeito obtida intra-vitae e encaminhada ao IML pelo Cirurgião Dentista que cumpriu seu papel arquivando os exames complementares no prontuário odontológico.
espaco2.gif (821 bytes)Identificação positiva pela comparação computadorizada. Uma única radiografia intra-vitae como a comparada ao lado é suficiente para esta afirmação. 
espaco2.gif (821 bytes)Entretando, o processo de identificação prossegue com a radiografia contralateral.
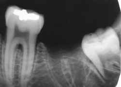
espaco2.gif (821 bytes)Radiografia da ossada
espaco2.gif (821 bytes)Região de molares inferiores esquerdos evidenciando perda provavelmente post-mortem do dente 47.
espaco2.gif (821 bytes)Observe que a forma alveolar e conseqüentemente das raízes perdidas estão evidentes.
espaco2.gif (821 bytes)A rizogênese incompleta do dente 48 permitiu a estimativa da idade.
espaco2.gif (821 bytes)Radiografia do suspeito obtida intra-vitae e encaminhada ao IML pelo Cirurgião Dentista que cumpriu seu papel arquivando os exames complementares no prontuário odontológico. Parabéns ao CD.
espaco2.gif (821 bytes)Confirmação da Identificação positiva pela comparação computadorizada da segunda radiografia.
espaco2.gif (821 bytes)Observe as peculiaridades da imagem de radiodensidade metálica. Na verdade são duas restaurações cujas imagens se superpuseram, uma oclusal e outra vestibular.
espaco2.gif (821 bytes)Observe o número de cúspides do molar incluso.
espaco2.gif (821 bytes)O intervalo de tempo entre a radiografia intra-vitae e a época da morte calculada é compatível com a erupção ocorrida.
espaco2.gif (821 bytes)Odontograma da ossada.

espaco2.gif (821 bytes) Vermelho - Restauração em amálgama de prata
espaco2.gif (821 bytes) Amarelo - Elemento dentário Presente.
espaco2.gif (821 bytes) Verde - Elemento dentário ausente e respectivo alvéolo com margens agudas e persitência da lâmina alveolar cribiforme.
espaco2.gif (821 bytes) Cinza - Elementos dentários e respectivos alvéolos indisponíveis ao exame.

espaco2.gif (821 bytes)Odontograma confeccionado a partir do Prontuário Odontológico, das radiografias intra-vitae periapicais  e dos seios da face.

espaco2.gif (821 bytes) Vermelho - vide legenda anterior.
espaco2.gif (821 bytes) Amarelo - vide legenda anterior.
espaco2.gif (821 bytes) Amarelo Claro - Elemento dentário presente visualizado em rx de seios da face.
espaco2.gif (821 bytes) Cinza - vide legenda anterior.
espaco2.gif (821 bytes) Região com radiografias obtidas em vida com radiografias periapicais disponíveis.

 

 

Material produzido baseado nos trabalhos dos
LABORATÓRIOS INTEGRADOS DE ANTROPOLOGIA, COMPUGRAFIA E ODONTOLOGIA FORENSES
INSTITUTO DE MEDICINA LEGAL LEONÍDIO RIBEIRO
COORDENAÇÃO DE POLÍCIA TÉCNICA
POLÍCIA CIVIL DO DISTRITO FEDERAL

BRASÍLIA - DISTRITO FEDERAL - BRASIL

José Eduardo da Silva Reis -  Fundador dos Laboratórios Integrados - Ex-Diretor do IML - DF
Aluisio Trindade Filho - Chefe do Laboratório de Antropologia Forense - Ex-Diretor do IML - DF
Ricardo Nogueira Frade - Laboratório de Antropologia Forense - IML - DF
Malthus Fonseca Galvão - Fundador e Chefe do Laboratório de Odontologia Forense - IML - DF
Venilton de Siqueira - Chefe do Laboratório de Compugrafia Forense - IML - DF
Alice Sousa - Antropóloga do Laboratório de Antropologia Forense - IML - DF

Alexandre Cavalcanti - Chefe do Núcleo de Estudos do IML - DF - Presidente SBrML

Agradecimentos Especiais

Seção de Perícia no Vivo do IML - DF
Seção de Perícia no Morto
do IML - DF
Seção de Apoio à Necrópsia do IML - DF
Seção de Radiologia Forense do IML - DF
Seção de Foto Imagem Forense do IML - DF
Seção de Psicopatologia Forense do IML - DF
Laboratório de Toxicologia Forense do IML - DF
Laboratório de Histopatologia Forense do IML - DF

Instituto de Criminalística - PCDF
Seção de Perícia Externa - IC - PCDF
Seção de Balística Forense - IC - PCDF

Divisão de Pesquisa em DNA Forense

Coordenação de Polícia Técnica - CPT
Polícia Civil do Distrito Federal - PCDF

Governo do Distrito Federal - GDF

 
     

Instituto Brasileiro de Ensino e Pesquisa em Odontologia e Medicina Legal
®

  Instituto Brasileiro de Ensino e Pesquisa em Medicina e Odontologia Legal
Direitos Reservados 1997-2001 - Leia as Condições Legais - Consultores

mande um email com suas críticas e sugestões

 

Síntese do Site www.ibemol.com.br preparada para o CD-ROM FORENSE 2000  - APEMOL & IBEMOL